PREK EKRANIN
VAZHDO LEXIMIN
VAZHDO LEXIMIN
Një propozim për martesë që duhej të ishte romantik, përfundoi në mënyrën më të papritur. I riu kishte vendosur t’i bënte surprizë të dashurës duke fshehur unazën e martesës brenda një hamburgeri, ndërsa ata po hanin së bashku.
Por vajza nuk e vuri re unazën dhe e gëlltiti bashkë me ushqimin. Vetëm pak më vonë, pasi ai e kuptoi se diçka nuk shkonte, u detyruan të shkonin urgjentisht te mjeku.

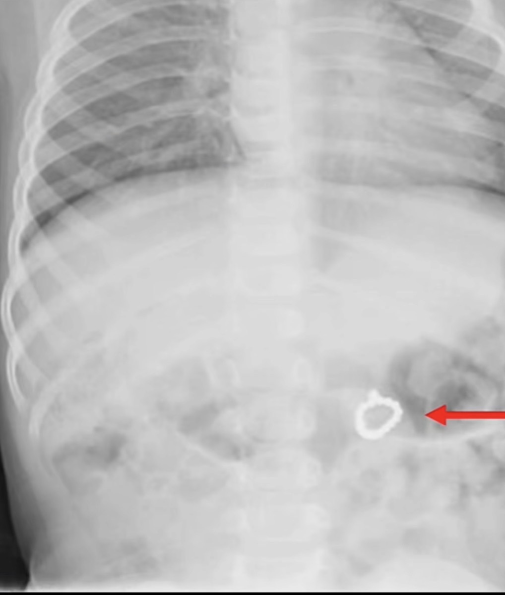
Pas ekzaminimeve, mjekët konstatuan se unaza ndodhej në stomakun e saj, duke shkaktuar panik, por fatmirësisht pa pasoja serioze për shëndetin.
⏩𝐊𝐋𝐈𝐊𝐎 𝐊𝐄𝐓𝐔⏪ 𝐏𝐄𝐑 𝐓𝐄 𝐋𝐄𝐗𝐔𝐀𝐑 𝐋𝐀𝐉𝐌𝐈𝐍 𝐄 𝟐..!!!
Ngjarja është bërë virale në rrjet, duke ndarë opinionet mes atyre që e quajnë “romantike por të rrezikshme” dhe atyre që thonë se surprizat e tilla mund të përfundojnë keq.
